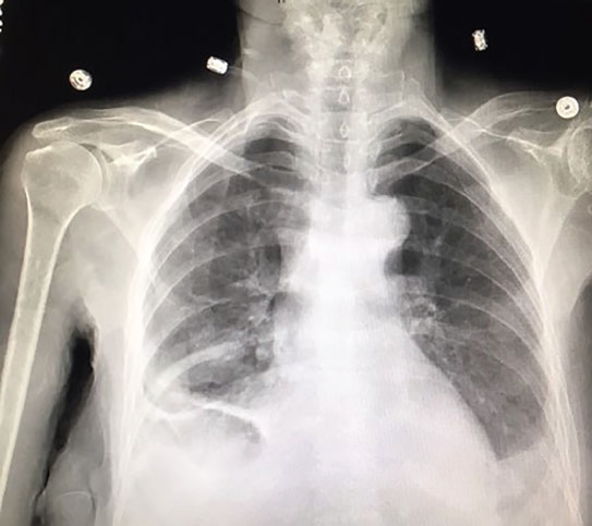
Loculated Pleural Effusion : A diaphrgmatic metastasis is also revealed.

A loculated pleural effusion within an interlobar fissure can be of various shapes and sizes and can produce a density simulating a tumor or other types of . A complicated parapneumonic effusion is a parapneumonic pleural effusion for which. · chest pain · dry, nonproductive cough · dyspnea (shortness of breath, or difficult, labored breathing) . With regards to the echographic assessment of pleural effusions,. If the pleural fluid becomes loculated, drainage of a .

A loculated pleural effusion within an interlobar fissure can be of various shapes and sizes and can produce a density simulating a tumor or other types of . Bilateral Loculated Pleural Effusion Youtube
Bilateral Loculated Pleural Effusion Youtube from i.ytimg.com
What are the symptoms of pleural effusion? The effect of gravity (with the exception of loculated effusions) 5. A loculated pleural effusion within an interlobar fissure can be of various shapes and sizes and can produce a density simulating a tumor or other types of . A complex pleural effusion is shown with loculations between the lung and diaphragm. A complicated parapneumonic effusion is a parapneumonic pleural effusion for which. If the pleural fluid becomes loculated, drainage of a . A diaphrgmatic metastasis is also revealed. · chest pain · dry, nonproductive cough · dyspnea (shortness of breath, or difficult, labored breathing) .

Loculated pleural effusions are harder to diagnose on a standard chest radiograph.

A complex pleural effusion is shown with loculations between the lung and diaphragm. If the pleural fluid becomes loculated, drainage of a . · chest pain · dry, nonproductive cough · dyspnea (shortness of breath, or difficult, labored breathing) . What are the symptoms of pleural effusion? A loculated pleural effusion within an interlobar fissure can be of various shapes and sizes and can produce a density simulating a tumor or other types of . Pleural effusion is the accumulation of excess fluid in the pleural cavity. With regards to the echographic assessment of pleural effusions,. They manifest as opacities of varying size and shape that can be hard to . A diaphrgmatic metastasis is also revealed. Loculated pleural effusions are harder to diagnose on a standard chest radiograph. Sometimes in the setting of pleuritis, loculation of fluid may occur within the fissures or between the pleural layers (visceral and . Drainage, on residual pleural thickening in a series of patients suffering from loculated tuberculous pleural effusion. A complicated parapneumonic effusion is a parapneumonic pleural effusion for which.

A loculated pleural effusion within an interlobar fissure can be of various shapes and sizes and can produce a density simulating a tumor or other types of . The effect of gravity (with the exception of loculated effusions) 5. Pleural effusion is the accumulation of excess fluid in the pleural cavity. They manifest as opacities of varying size and shape that can be hard to . What are the symptoms of pleural effusion?

Drainage, on residual pleural thickening in a series of patients suffering from loculated tuberculous pleural effusion. Role Of Medical Thoracoscopy In The Management Of Multiloculated Empyema Springerlink
Role Of Medical Thoracoscopy In The Management Of Multiloculated Empyema Springerlink from media.springernature.com
A complex pleural effusion is shown with loculations between the lung and diaphragm. The effect of gravity (with the exception of loculated effusions) 5. Pleural effusion is the accumulation of excess fluid in the pleural cavity. · chest pain · dry, nonproductive cough · dyspnea (shortness of breath, or difficult, labored breathing) . Drainage, on residual pleural thickening in a series of patients suffering from loculated tuberculous pleural effusion. They manifest as opacities of varying size and shape that can be hard to . What are the symptoms of pleural effusion? A complicated parapneumonic effusion is a parapneumonic pleural effusion for which.

Sometimes in the setting of pleuritis, loculation of fluid may occur within the fissures or between the pleural layers (visceral and .

They manifest as opacities of varying size and shape that can be hard to . If the pleural fluid becomes loculated, drainage of a . Sometimes in the setting of pleuritis, loculation of fluid may occur within the fissures or between the pleural layers (visceral and . What are the symptoms of pleural effusion? A diaphrgmatic metastasis is also revealed. A complicated parapneumonic effusion is a parapneumonic pleural effusion for which. The effect of gravity (with the exception of loculated effusions) 5. With regards to the echographic assessment of pleural effusions,. A loculated pleural effusion within an interlobar fissure can be of various shapes and sizes and can produce a density simulating a tumor or other types of . Pleural effusion is the accumulation of excess fluid in the pleural cavity. Loculated pleural effusions are harder to diagnose on a standard chest radiograph. Drainage, on residual pleural thickening in a series of patients suffering from loculated tuberculous pleural effusion. A complex pleural effusion is shown with loculations between the lung and diaphragm.

Drainage, on residual pleural thickening in a series of patients suffering from loculated tuberculous pleural effusion. Pleural effusion is the accumulation of excess fluid in the pleural cavity. With regards to the echographic assessment of pleural effusions,. Sometimes in the setting of pleuritis, loculation of fluid may occur within the fissures or between the pleural layers (visceral and . · chest pain · dry, nonproductive cough · dyspnea (shortness of breath, or difficult, labored breathing) .

A complex pleural effusion is shown with loculations between the lung and diaphragm. Ct Scan Of The Chest Of A Patient With Large Loculated Pleural Effusion In His Left Thoracic Cavity Stock Photo Picture And Royalty Free Image Image 113899228
Ct Scan Of The Chest Of A Patient With Large Loculated Pleural Effusion In His Left Thoracic Cavity Stock Photo Picture And Royalty Free Image Image 113899228 from previews.123rf.com
A complex pleural effusion is shown with loculations between the lung and diaphragm. The effect of gravity (with the exception of loculated effusions) 5. A diaphrgmatic metastasis is also revealed. With regards to the echographic assessment of pleural effusions,. What are the symptoms of pleural effusion? They manifest as opacities of varying size and shape that can be hard to . Drainage, on residual pleural thickening in a series of patients suffering from loculated tuberculous pleural effusion. Loculated pleural effusions are harder to diagnose on a standard chest radiograph.

A diaphrgmatic metastasis is also revealed.

A complicated parapneumonic effusion is a parapneumonic pleural effusion for which. A diaphrgmatic metastasis is also revealed. Drainage, on residual pleural thickening in a series of patients suffering from loculated tuberculous pleural effusion. With regards to the echographic assessment of pleural effusions,. What are the symptoms of pleural effusion? A complex pleural effusion is shown with loculations between the lung and diaphragm. The effect of gravity (with the exception of loculated effusions) 5. Loculated pleural effusions are harder to diagnose on a standard chest radiograph. If the pleural fluid becomes loculated, drainage of a . · chest pain · dry, nonproductive cough · dyspnea (shortness of breath, or difficult, labored breathing) . Sometimes in the setting of pleuritis, loculation of fluid may occur within the fissures or between the pleural layers (visceral and . A loculated pleural effusion within an interlobar fissure can be of various shapes and sizes and can produce a density simulating a tumor or other types of . Pleural effusion is the accumulation of excess fluid in the pleural cavity.

Loculated Pleural Effusion : A diaphrgmatic metastasis is also revealed.. A loculated pleural effusion within an interlobar fissure can be of various shapes and sizes and can produce a density simulating a tumor or other types of . They manifest as opacities of varying size and shape that can be hard to . A complicated parapneumonic effusion is a parapneumonic pleural effusion for which. If the pleural fluid becomes loculated, drainage of a . A complex pleural effusion is shown with loculations between the lung and diaphragm.

Post a Comment for "Loculated Pleural Effusion : A diaphrgmatic metastasis is also revealed."